Molluscum contagiosum 傳染性軟疣
常見的疣有兩種,一種是大家常聽到的病毒疣(Wart,Verruca ),另一種,則是比較少聽到,好發在小朋友的傳染性軟疣(Molluscum Contagiosum )
一般我自己心裡面想的疣應該比較偏向雞眼的方向,這東西是由 Poxvirus,就是痘病毒的其中一個支線(MCV Virus) 所產生出來的Paupule,出生後會自己退掉
免疫抑制, 新生兒,組織切片裡面角化細胞腫脹(因為每個keratin cell 裡面都是病毒體),一開始這些病毒體是紅色,後來變成藍色 (erosinphilic to basophilc )

Nicotine stomatitis 尼古丁口炎
我自己在大4的口病
對這個的印象就是抽菸會在在palate 有一點點紅點(小唾液線開口),然後會自己好

但其實國考書寫的重點不大一樣,關鍵是在這是被菸燙傷,跟化學反應無關(所以出現在南美洲的反式吸菸法),除了紅點,關鍵是會有明顯角化,算是一種抵禦的方法。
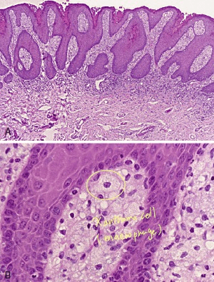
Verruciform xanthoma
這其實就是眼科常見的黃瘤,黃瘤就是吃掉脂肪的marcophage,跟之前run 眼科的時候記法不同,他跟高血脂無關,也跟HPV無關(雖然有乳突狀)
白人,女人,buccal and alveolar mucosa
國考有考過,關鍵是組織學部分

- PAS (+) (+) 因為跟LIPID 有關
- 無柄、凸起並有黃白色乳突狀表面團塊
- 表面放射狀溝中填有parakeratin plug、rete ridge 等長。
- 不完全角化的上皮parakerain
Seborrheic keratosis 脂漏性角化病 簡稱Seb K
其實就是老人斑,應該大家都知道 老人斑不一定只發生在老人,也可以在年輕人
我不知道牙科學著個幹嘛,因為他不會發生在口內,可能跟陽光有關,但跟病因無關,%在非洲人,很像SCC,但其實是Pseudocyst
HPV有關疾病整理
- Squamous papilloma
- Verruca Vulgaris – Common wart 尋常疣
- Condyloma acuminate 菜花
- Focal epithelium hyperplasia – Heck’s disease
| Information | 組織學 | |
| Squamous papilloma | HPV 6,11 30-50 y/o 舌頭,軟顎 Exophytic Pedunculated | Keratinized stratified squamous epithelium “Koilocye” 空泡細胞 – 在棘層底部,濃染 |
| Verruca vulgaris 尋常疣 | 最常見 口內少見 接觸傳染 | Hyperkeratosis 角化過度 Koilcyte Hypergranulosis Connective tissue core |
| Condyloma acuminatum 菜花 | HPV 2.6.11.53.54 16.18 跟papiloma 差別- 菜花無柄上下都有 | Koilcyte Hyperplastic without evidence of dysplastic |
| Focal epithelial hyperplasia – Heck’s disease | 唇頰舌 | 鵝卵石狀 Mitosoid cells |
| 以下為可能惡性 | ||
| Verrucous hyperplasia | 很少見,但惡性率很高(74) 切了又會長,多發性,非常難治療 | |
| Verrucous carcinoma | VC可能是HPV感染,或是從VH來,VC在口腔癌很少,但他可能轉變成SSC,如果只是VC,5年存活率高(75-90) | 疣狀表面,分化良好 有keratin plug Basemembrane 完好(因為只是往下壓,沒有穿破) |
以下病變皆和光照相關
Actinic Kerotosis 跟 Actinic cheilosis –
兩者都是紫外線引起,兩都都又10% 會變成SSC,Kertosis 是上皮變得很粗糙,cheilosis 是下嘴唇的vermillion border 界線變模糊
Keratoacanthoma 角化棘皮瘤
角化棘皮瘤外觀看起來可怕且生長迅速,常讓人誤以為是癌症,但其實角化棘皮瘤是一種良性皮膚腫瘤,又被稱為分化良好的鱗狀上皮細胞癌,好發在臉部及頸部,腫瘤的形狀類似火山口,伴有許多角質堆積
他其實不是癌症,只是裡面有很多的keratin pearls ,所以其實也可以說他是psudocarcinoma ,一般在半年到一年他會自己消退,但如果病人有需要也可以切除,那什麼樣的人容易得,老男白人,病人一般要求切除都是為了美觀,但要提醒病人,這種自發性的毛囊腫瘤可能有4 – 8趴會復發
國考會考他跟Muir-torre syndrome 有關,口病的東西多,對這個疾病我的印象是,為甚麼要推銷民眾在癌症篩檢,因為你今天看到你有皮膚的keratoacanthoma ,也可能代表你有皮脂腺腫瘤,腸胃道腫瘤,這幾個會互相影響,所以臨床上看到皮膚病變,也可以推一下病人自費的癌症篩檢
皮膚Melanoma
平均50 歲,因為光照引起,標準的ABCDE一定要記熟
分為表面擴散型,結節型(nodular),惡性雀斑(lentigo maligna),以及acral lentiginous
melanoma不好切除乾淨,而且轉移機率高,成索狀,可以用s-100,HMB-45,MART-1, Melan-A 診斷

Basal cell carcinoma
最常見的皮膚癌,不大可能出現在口腔,可能附近會血管擴張,Tumor cell很顯濃染,往下會吃到connective tissue
口病的連結 – Gorlin syndorme(不是gardner syndrome 要注意)

Merkel cell carcinoma
可能在臉(75趴)或在口內(4趴),也跟光照射有關,在白人老人
要注意這個病不會有潰瘍,細胞呈現篩狀排列,可以用keratin – 20診斷
\
發表留言